가양역치과

21. 가양역치과 벌어진 앞니와 치아경계부위 우식에 자연스러운 치료를

가양역치과 벌어진 앞니와 치아경계부위 우식에 자연스러운 치료를 ​ 치아 중에서 가장 먼저 눈에 띄는 치아는 바로 앞니인데요. ​ 가지런한 앞니는 다른 사람에게 긍정적인 인상뿐만 아니라 음식을 뜯고 자를 때 편리하며 보다 명료한 발음을 위해 중요하다고 할 수 있습니다.   앞니를 포함한 여러가지 치열의 형태가 있지만 유독 위 앞니의 가운데가 벌어져 더보기…

치아미백 가양동치과 치료 타이틀

20. 가양역치과 치아상태에 맞는 치료로 자신감을 찾기 위해

가양역치과 치아상태에 맞는 치료로 자신감을 찾기 위해   안녕하세요! 서울맥치과입니다:) ​ 하얀치아와 밝은미소는 누구에게나 좋은 인상을 주는 요소인데요. ​ 그래서 결혼, 면접 등 중요한 일을 앞두신 분, 대면으로 업무를 하신 분, 치아 색상으로 오랜기간 콤플렉스를 느끼신 분 등 많은 분들께서 치아 미백 상담을 하러 오십니다. ​ 오늘은 가양역치과 서울맥치과에서 미백에 더보기…

등촌동치과 충치치료 전후 타이틀

19. 등촌동치과 앞니에 생긴 치경부우식을 레진으로 심미성을 회복하기 위해!

등촌동치과 앞니에 생긴 치경부우식을 레진으로 심미성을 회복하기 위해!   안녕하세요! 서울맥치과입니다:)   치과에 내원하시는 이유 중에서 가장 많이 말씀하시는 것은 아무래도 ‘충치’라고 말하는 치아우식증을 들 수 있습니다.   치아우식증은 남녀노소를 불문하고 발병률이 높은데요.   주로 음식을 저작하는 어금니의 교합면과 치아사이에 발생한다고 생각하시지만 여러원인으로 인해 ‘치경부’라는 위치에 진행되기도 하는데요.   많은 더보기…

가양역치과 올온엑스 치료 전 후

18. 가양역치과 무치악에 전체적으로 임플란트를 하기가 부담스럽다면

가양역치과 무치악에 전체적으로 임플란트를 하기가 부담스럽다면   안녕하세요! 서울맥치과입니다:)   치아가 한 개도 남아있지 않으시거나 남아있는 치아의 상태가 좋지않아서 발치가 필요한 무치악 환자분들의 구강기능을 회복하는 선택지는 많지 않은데요.   전체 틀니를 제작하시거나 전체 임플란트 식립하시거나 임플란트로 지지하는 부분틀니를 제작하는 방법 등으로 다시 식사를 편안하게 하고, 발음과 심미적인 부분의 회복하시게 됩니다. 더보기…

등촌동치과 틀니치료 타이틀

16. 가양역치과 전체틀니로 편안함과 구강기능의 회복을 위해

가양역치과 전체틀니로 편안함과 구강기능의 회복을 위해   안녕하세요! 서울맥치과입니다:) ​ 여러가지 이유로 다수의 치아를 발치하고 틀니를 사용하시는 분들이 많이 계십니다. ​ 임플란트 식립이 우려되시는 전신질환을 가지신 분, 치료에 대한 공포가 있는 분, 치주질환으로 인해 너무 얇고 약한 치조골을 가지신 분, 경제적, 시간적 사정이 있으신 분 등은 전체 또는 부분 틀니를 더보기…

가양역치과 보철치료 타이틀 이미지

15. 가양역치과 자연스러운 보철물로 자신감을!

가양역치과 자연스러운 보철물로 자신감을! 2025.04.02 → 2025.05.14   안녕하세요! 서울맥치과입니다:) ​ 치아가 부러지거나 깊은 치아 우식증으로 인해 크라운(crwon), 브릿지(bridge)와 같은 보철물을 씌워야 하는 경우가 많이 계시는데요. ​ 특히, 앞니의 경우는 사람을 만나고 대화할 때 눈에 띄는 부분 중 하나이기 때문에 보철물의 형태와 색상에 더욱 주의를 기울여서 제작해야 합니다. ​ 앞니 더보기…

가양역임플란트 치료 전, 후 비교 이미지

7. 가양역치과, 적절한 임플란트 식립으로 저작기능회복!

가양역치과 적절한 임플란트 식립으로 저작기능회복!     안녕하세요. 서울맥치과입니다:) 생각보다 많은 분들께서 식사를 하실 때, 주로 저작하는 방향이 있다고 말씀하십니다.   대부분 양측으로 저작방향의 균형을 맞추려고 의식하지않고, 편한 쪽으로 음식을 드신다고 하는데요.   이와같이 한 방향으로 주로 식사하는 것을 ‘편측저작’ 이라고 합니다.   서울맥치과에서 편측저작을 오래하게 되면, 발생할 수 있는 더보기…

가양역치과 임플란트 식립 전

6. 가양역치과, 뿌리만 남은 자리에 임플란트로 구강 균형 맞춤!

가양역치과 뿌리만 남은 자리에 임플란트로 구강 밸런스 맞춤!     안녕하세요. 서울맥치과입니다:) 생각보다 많은 분들께서 치아에 통증이나 깨짐, 잇몸질환, 치아우식 등 발생한 것을 알고 있지만 치과로 바로 내원하지 않으신다고 합니다.   아무래도 바쁜 일상으로 생활하는 현대인들에게 시간을 내는 것이 어려운 일이라고 생각합니다.   그 밖에도 경제적인 비용, 치과공포증 등의 이유가 더보기…

가양동치과 임플란트 전/후 사진

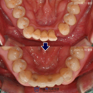
5. 등촌동치과, 흔들리는 앞니에 자연스러운 임플란트로 자신감 회복!

등촌동치과 흔들리는 아래앞니에 자연스러운 임플란트로 자신감 회복!     안녕하세요. 서울맥치과입니다:) 성인의 경우, 오랜시간 관리하지 못한 치아가 흔들린다면 가장 큰 원인 중 하나로 ‘치주질환’을 들 수 있는데요. 혹시 ‘풍치’라는 말 들어보신 적 있으신가요?   치아에 충치가 없음에도 잇몸이 불편하고 아프며, 치아가 흔들려서 음식을 저작하기 힘든 상태의 치아 상태를 가리키는 증상을 더보기…

등촌동임플란트 치료 전/후 타이틀 이미지

4. 가양역치과, 뼈이식을 병행한 앞니 임플란트로 웃음을 되찾기 위해

가양역치과 뼈이식을 병행한 앞니임플란트로 웃음을 되찾기 위해!     안녕하세요. 서울맥치과 입니다:) 임플란트 식립술을 하게 되면 자주 동반하는 시.술 중 하나가 ‘뼈 이식술’입니다.   치주질환, 치아우식으로 인한 염증, 잘못된 구강관리 습관 등으로 치아 사이의 잇몸뼈가 내려가거나 좋지 않은 치아 주변의 잇몸뼈가 얇아지는 ‘치조골 흡수’라는 증상이 발생할 수 있는데요.   치아를 더보기…

문의 전화

02-2659-2870

네이버 예약

네이버 예약