등촌동치과
앞니에 생긴 치경부우식을
레진으로 심미성을 회복하기 위해!

안녕하세요!
서울맥치과입니다:)
치과에 내원하시는 이유 중에서
가장 많이 말씀하시는 것은
아무래도 ‘충치’라고 말하는
치아우식증을 들 수 있습니다.
치아우식증은
남녀노소를 불문하고
발병률이 높은데요.
주로 음식을 저작하는
어금니의 교합면과 치아사이에
발생한다고 생각하시지만
여러원인으로 인해
‘치경부’라는 위치에 진행되기도 하는데요.
많은 분들께서 미처 생각하지 못하시는
‘치경부 치아우식증’에 대하여
간단히 설명드리겠습니다!
먼저, 치경부의 위치는
치아와 잇몸이 구분되는 경계부위로로
이 부위는 치질 중 가장 단단한 법랑질이
매우 얇은 부위입니다.

치경부 우식증이 생기는
몇 가지 원인을 말씀드릴께요.
먼저, 잇몸의 퇴축으로 인해
우식이 빠르고 깊게 진행될 수 있습니다.
부적절한 잇솔질 방법 등으로 ‘마모(abrasion)’나
잇몸퇴축이 발생하는 부위이기도 합니다.
이로인해
법랑질 아래의 상아질이라는
부위가 노출되기도 하고
잇몸퇴축으로 뿌리가 노출되기도 하는데요.
법랑질 아래인 상아질이라는 치질은
치아우식에 보다 취약하고 진행이 빠르게 진행되고,
전치부에 진행될 경우 심미적으로
주의깊은 관찰이 필요합니다.

다음으로, 가정에서 구강관리가
잘 되지 않는 부위 입니다.
우식이 진행되기 전에
음식물 잔사가 치아에 붙어
머무르게 되는 시간이 있는데,
이때,
칫솔질로 음식물 잔사와
끈적이는 치면세균막이라는 것을
제거하면 우식이 진행되지 않아요.
보통 어금니와 치아사이는
상대적으로 칫솔질을 잘하시는 반면
치경부위는 잘 하시지 못하는 경우가 많기때문에
치경부 우식증이 진행됩니다.
그 밖에도
평소 당분이 많은 음료를 자주 드시거나
노화로 인해 구강 내 침 분비가 부족하여
구강건조증이 있어
자정작용에 어려우신 분들에게서
발생할 수 있습니다.
따라서
초기에 발견하고 우식부위을 메워서 치료하고,
평소 예방할 수 있는 방법과 관리를 받으시는 것이
중요하다고 할 수 있어요!
등촌동치과, 서울맥치과는
정밀한 장비로 환자분의 구강을 정밀하게 확인하고
꼼꼼한 관찰을 통한 시진,
자세하고 친절한 문진과 상담을 통해
치료계획 뿐만아니라
평소 구강관리 습관을 케어해드리므로써
꾸준한 관리를 도와드리고 있습니다.
“앞니 부위에 검게 충치가 생긴거 같아요.
여기도 치료가 가능할까요?”
라는 사유로 통증과 심미적인 위축을 호소하신 분의
사례를 소개해드리겠습니다.

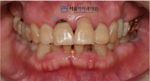
25.03.04(진단)
처음 내원하셨을 때의 모습입니다.
가장 먼저 눈에 띄는 것은
환자분께서 호소하신
사진의 하늘색 화살표
앞니 치경부 우식증이었는데요.
상당히 깊게 진행되어
심미적인 부분뿐만아니라
아픔도 많이 느끼셨을 것으로 보였습니다.
가장 큰 앞니만 있는것이 아니라
좌측 작은 앞니와
아래 앞니도 진행된 모습을 보였습니다.
등촌동치과, 서울맥치과는
최대한 치아를 살려서 씌우는 치료가 아닌
레진이라는 치아 수복재료로
진행해드리는 것으로 계획하였는데요.
사진의 노란색 화살표로 표시된
아래 앞니 벌어짐(정중이개)도
평소 콤플렉스라고 하셔서
함께 자연스럽게 치료해드리는 것으로 하였습니다.

25.03.31(당일치료 완료)

내원 예약을 하시고
당일에 모든 치료를 마무리하신 모습이예요 ~
주변치아 색과 형태가 매우 자연스럽게 치료되어
서울맥치과의 섬세한 치료에
환자분께서 정말 만족하신다고 말씀주셨습니다:)
특히, 환자분의 일정을 고려하여
치료기간을 당일로 마무리 할 수 있어서
더욱 고맙다고 말씀주셨는데요 ~
등촌동치과, 서울맥치과는
소중한 환자분의 시간과 구강을 먼저 생각하는
치료를 제공하기위해
마음을 다해 노력하고 있습니다.
등촌동치과, 서울맥치과는
보건복지부 인증 통합치의학전문의
대표원장님께서
어떠한 위임진료 없이
처음부터 끝까지 책임있는 치료를 하고있습니다.
평일 낮 시간에 바쁜 일정으로
내원하기 어려운 분들을 위해,
서울맥치과는 월요일과 목요일에
야간 진료를 운영하고 있습니다.
언제든 부담없이 내원해 주세요:)
감사합니다.
*모든 증례 사진은 의료법 제23조,
제 56조에 의거하여,
당사자의 동의하에 게시하였습니다.
*치료 사진은 모두 본원에서 치료한
환자분 사진입니다.
*치료 사진은 모두 동일인의 사진이며,
동일 조건에서 촬영하였습니다.
*개인의 차이에 따라 시술 및 수술 후
부작용이 발생할 수 있으며,
의료진과 충분한 상담을 받으시기 바랍니다.