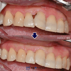
19. 등촌동치과 앞니에 생긴 치경부우식을 레진으로 심미성을 회복하기 위해!
등촌동치과 앞니에 생긴 치경부우식을 레진으로 심미성을 회복하기 위해! 안녕하세요! 서울맥치과입니다:) 치과에 내원하시는 이유 중에서 가장 많이 말씀하시는 것은 아무래도 ‘충치’라고 말하는 치아우식증을 들 수 있습니다. 치아우식증은 남녀노소를 불문하고 발병률이 높은데요. 주로 음식을 저작하는 어금니의 교합면과 치아사이에 발생한다고 생각하시지만 여러원인으로 인해 ‘치경부’라는 위치에 진행되기도 하는데요. 많은 더보기…



