가양역치과
뿌리만 남은 자리에 임플란트로 구강 밸런스 맞춤!

안녕하세요. 서울맥치과입니다:)
생각보다 많은 분들께서 치아에 통증이나
깨짐, 잇몸질환, 치아우식 등
발생한 것을 알고 있지만 치과로
바로 내원하지 않으신다고 합니다.
아무래도 바쁜 일상으로 생활하는 현대인들에게
시간을 내는 것이 어려운 일이라고 생각합니다.
그 밖에도 경제적인 비용,
치과공포증 등의 이유가 있을 것입니다.
그렇지만, 구강과 치아에 발생한
작은 불편함도 간과하지 마시고 늦지않게
검진을 받으시길 권해드려요.
처음에는 불편한 치아만 문제가 될 수 있으나
더 심하게 진행될 경우는 주변 치아와 치조골,
구강점막 등으로 영향을 끼쳐 최후에 경우
발치를 하셔야 할 수 도 있습니다.
서울맥치과에서 반드시 확인하셔야 하는
구강질환을 몇 가지를 정리해드리겠습니다.
가장 대표적인 질환은 ‘치아우식증’과 ‘치주질환’ 입니다.
잘 아시다시피, 치아우식증은 식사 후
치아에 음식물이 남아서 생긴
세균으로 인해 산(acid)이 발생되는 것을 말하는데요.
이 산으로 인해 치아 표면이 부식이 되며
치아우식이 진행됩니다.
초기에 갈색반점이나 하얀 부식을 제거한다면
치질의 손실을 적게 하며
보존적인 치료가 가능할 수 있어요!

치주질환은 치아에 생긴 끈끈한
치태(플라그)가 제거되지 않고 음식물 찌꺼기가 붙으며
두껍게 치석이 형성되면서 발생하게 됩니다.
치석에 존재하는 세균으로 인해 잇몸이 붓고 피가나며,
심하게 진행되면 치조골이 놓아 치아가 흔들릴 수 도 있어요.
또 ‘치아 깨짐(파절)’ 입니다.
오랜시간 저작활동으로
치아에는 잔 금(crack)이 있을 수 있는데요.
이러한 금이 치아 뿌리까지 진행되거나
갑자기 단단한 음식을 드시다
깨진 치아가 치아 전체에 영향을 미칠 수 있습니다.
겉으로 보이는 깨짐의 정도로 안심하시지 마시고
서울맥치과로 내원하셔서 정확한 진료와
적절한 치료를 늦지않게 받으시길 바랍니다.
그밖에 볼, 입술, 혀 점막 및 잇몸 등에
염증이 보인다면 빨리 정확하게 확인하시고
조치와 치료가 필요합니다.
가양역치과, 서울맥치과는
내원해주시는 모든 환자분의
구강건강과 건강한 치아를 위해
정확한 진단 및 계획과 올바른 치료를 하고 있으며,
환자분께서 시기를 놓치지 않고
내원하실 수 있도록 꼼꼼하고
체계적인 관리시스템을 운영하고 있습니다.
“치아 뿌리만 남은 곳으로 식사하기 어려워요.
임플란트 가능할까요?”
라는 사유로 내원해주신 분의
케이스를 소개해드리겠습니다.


처음 내원하셨을 때, 모습인데요.
사진에 보이는 뿌리만 남은 치아는 남은 부분마져
치아우식이 진행된 상태였습니다.
그리고 옆 치아도 치아우식이 상당히 진행되었고,
치주질환까지 있어 살리기 어려울 것으로 판단되었습니다.
치아가 파절되기 전에
내원하셔서 치료를 받으셨다면,
좋으셨으리라 생각되었으나 지금에
더 나빠지지 않도록 임플란트 식립 계획을 세워드렸습니다.

서울맥치과는 치조골의 폭과 양을 3D CT 촬영을 통해
정확하게 확인하고,
적절한 임플란트 픽스쳐가 식립될 수 있도록
길이와 지름을 확인하고 진행하였습니다.


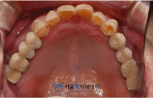
성공적으로 임플란트 식립이 된 모습입니다!
가양역치과, 서울맥치과의
섬세한 치료로 이제 편안하게 식사를
하실 수 있다고 말씀주셨어요♥
저희 서울맥치과도 불편하셨던
편측저작에서 양측으로 식사를 골고루
하실 수 있다고 하셔서 보람을 느꼈습니다.

환자분의 경우,
임플란트 보철물이 많으신 상태셨는데요.
간혹, 임플란트의 편안함으로
주기적인 검진을 놓치시기도 하는데요.
이로인해 임플란트 치주염이 발생하여
흔들리거나 주변치아에도 영향을 미칠 수 있으니
가양역치과, 서울맥치과는
체계적인 예약안내시스템으로
꼭 내원하실 수 있도록 노력하고 있습니다.
그리고 서울맥치과에서 안내해드리는
평소 가정에서 하셔야하는 구강관리방법을
잊지않고 해주시길 당부드렸어요!

가양역치과, 서울맥치과는
정밀하고 난이도 높은 수술경험이 있는
보건복지부 인증 통합치의학과 전문의
대표원장님께서 성공적인 임플란트 식립과
유지관리를 해드리고 있습니다.
바쁜 일정으로 치과 내원이 어려우신분들을 위해
월, 목요일은 야간진료를 시행하고 있으니,
참고하셔서 언제든 부담없이 내원해주세요.
환자분의 구강주치의라는 마음으로
책임있는 진료를 약속드리겠습니다.
감사합니다.
*모든 증례 사진은 의료법 제23조,
제56조에 의거하여,
당사자의 동의하에 게시하였습니다.
*치료 사진은 모두 본.원에서 치료한
환.자분 사진입니다.
*치료 사진은 모두 동일인의. 사진이며,
동일 조건에서 촬영하였습니다.
*개인의 차이에 따라 시.술 및 수술 후
부작용이 발생할 수 있으며,
의료진과 충분한 상.담을 받으시기 바랍니다.